Ti-LUNG Decision Support
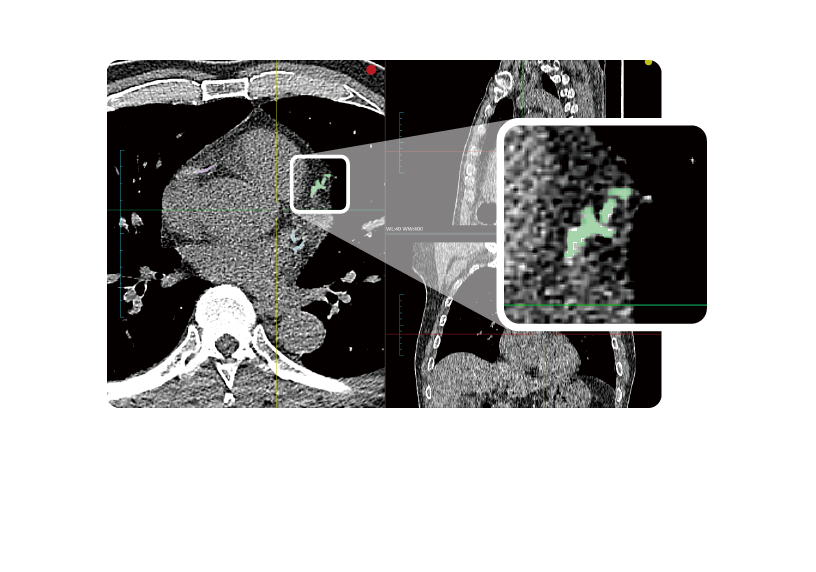
用於分析肺部CT影像並自動偵測結節
自動匯出符合政府規範格式的報告

HPA格式

能夠自動生成符合臺灣國健署格式的比對結果報告,貼近臨床需求

Lung-RADS分級

快速分析和分類肺部結節,使用美國放射學會Lung-RADS 分級

冠狀動脈鈣化分析

CAC模組可分析LDCT影像,依據Agatston評分量化冠狀動脈鈣化程度,為臨床提供評估參考

包容性

可支援多種品牌電腦斷層儀器


TFDA
衛部醫器製字
第 007754 號


為何選擇 Ti-LUNG
能夠配合醫院標準,增加醫師工作效率

Ti-LUNG軟體是一款肺部電腦斷層決策支援系統,用於檢視、分析肺部電腦斷層影像,識別疑似結節區域和評估其良、惡性程度,提供肺部結結特徵和Lung-RADS分級,以提升醫師閱片效率,並快速產生符合臨床需求的診斷報告,增加工作效率。

產品演示





選配CAC自動分析模組
不只顧肺,更護心

Ti-LUNG 支援擴充 CAC 冠狀動脈鈣化評估。無須增加輻射,AI 自動計算分數供臨床參考,協助初步警示心血管風險。單次 CT 實現肺心雙篩,極大化健檢價值。










探索其他產品

探索 TaiHao 太豪生醫的更多產品,幫助您全面發揮。